Tumore der Bauchspeicheldrüse sind leider häufig bösartig. Zu den bösartigen Pankreastumoren gehört der eigentliche Bauchspeicheldrüsenkrebs (duktales Adenokarzinom), welcher unter den Bauchtumoren das aggressivste Verhalten aufweist mit schnellem Einwachsen in umgebende Strukturen (Gefässe), Organe (z.B. Zwölffingerdarm, Magen) und Streuen von Ablegern (Metastasen).
Alternativ bestehen Tumoren der Bauchspeicheldrüsen auch aus neuroendokrinen Zellen (den sogenannten neuroendokrinen Tumoren), aus Metastasen oder aus Zysten. Neuroendokrine Tumore der Bauchspeicheldrüse haben insgesamt ein weniger aggressives Verhalten als der eigentliche Bauchspeicheldrüsenkrebs, dennoch ist häufig eine chirurgische Entfernung notwendig, sofern das wegen der Ausdehnung des Tumors möglich ist. Mit dem zunehmenden Gebrauch von Computer- und Magnetresonanztomographien werden immer häufiger als Zufallsbefunde Zysten der Bauchspeicheldrüse entdeckt. Die Differenzierung der Zysten ist deshalb wichtig, weil einige davon bösartig sind oder werden können, insbesondere die sogenannten intraduktal papillär-muzinösen Neoplasien (IPMN) oder muzinösen Zysten. Über die Ursachen zur Entstehung eines Bauchspeicheldrüsentumors ist bisher wenig bekannt. Rauchen und die chronische Pankreatitis sind jedoch erwiesene Risikofaktoren für einen Krebs in der Bauchspeicheldrüse.
<div id="section-1" class="anchor-titel"></div>
Worunter leidet der Patient
Leider werden Tumoren der Bauchspeicheldrüse häufig zu spät entdeckt, wenn eine Heilung nicht mehr möglich ist. Je nach Lage der Tumoren innerhalb der Bauchspeicheldrüse können aber Symptome auftreten, welche schon relativ früh zur Diagnose führen können. Das klassische Beispiel ist der Stau des Galleabflusses, was zu einer Gelbsucht (Ikterus) führt. Andere Symptome sind Schmerzen oder bei Verlegung des Bauchspeicheldrüsenganges auch Verdauungsbeschwerden mit oder ohne Gewichtsverlust. Wegen der initial häufig spärlichen klinischen Zeichen ist es nicht untypisch, dass Pankreastumore als Zufallsbefund entdeckt werden, wenn eine Ultraschalluntersuchung, eine Computertomographie oder eine Magnetresonanztomographie durchgeführt werden.
<div id="section-2" class="anchor-titel"></div>
Wie stellt der Arzt die Diagnose
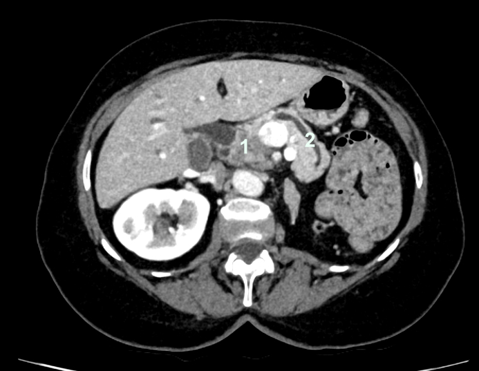
Wenn erstmals die Verdachtsdiagnose eines Bauchspeicheldrüsentumors gestellt wurde, muss die weitere Abklärung und Planung der Therapie sehr sorgfältig erfolgen. Neben der Anamnese und klinischen Untersuchung sind bildgebende Verfahren äusserst wichtig. Dazu gehören die Computertomographie, die Magnetresonanztomographie und die endoskopische Ultraschalluntersuchung. Diese erlaubt auch auf elegantem Weg, Gewebe zur genaueren Differenzierung zu sammeln.

<div id="section-3" class="anchor-titel"></div>
Welches sind die Therapiemöglichkleiten
Aktuell ist die einzige Möglichkeit, bösartige Tumoren der Bauchspeicheldrüse zu heilen, die chirurgische Entfernung des Tumors. Diese Operation macht beim Pankreaskrebs aber nur dann Sinn, wenn noch keine Ableger vorhanden sind und der Tumor lokal komplett entfernt werden kann. Falls eines der beiden Voraussetzungen nicht erfüllt ist, ist eine Vorbehandlung mittels aggressiver Chemotherapie in ausgewählten Fällen indiziert, und zwar so, dass bei gutem Ansprechen die Operation sekundär erfolgen kann. In allen Fällen, wo die Chirurgie nicht möglich respektive sinnvoll ist, geht es darum, die Symptome der Patienten zu lindern und die Lebensqualität so lange wie möglich zu erhalten. Gerade bei dieser Erkrankung ist die Zusammenarbeit unter den verschiedenen Disziplinen (Radio-Onkologie, medizinische Onkologie, Gastroenterologie, Radiologie, Viszeralchirurgie) entscheidend, um individuell die bestmögliche Therapie anbieten zu können.







